Niềng răng có cần phải nhổ răng khôn không? Trường hợp nào cần nhổ
Niềng răng có cần nhổ răng khôn không là thắc mắc thường gặp của nhiều người khi chuẩn bị niềng răng. Lo lắng việc nhổ răng có cần thiết không, không nhổ thì có được không và trường hợp nào nhất thiết phải nhổ. Hãy cùng Nụ Cười Việt theo dõi bài viết để hiểu rõ về vấn đề này nhé!

1. Niềng răng có cần nhổ răng khôn không?
Răng khôn (răng số 8) là các răng hàm xuất hiện cuối cùng khi bạn đến độ tuổi 17 - 25. Chiếc răng này có thể mọc trước, mọc trong hoặc mọc sau quá trình niềng răng. Tùy vào trường hợp răng khôn có ảnh hưởng gì đến phác đồ niềng răng hay không mà bác sĩ có thể chỉ định khác nhau. Cụ thể, dưới đây là những trường hợp cần phải nhổ răng khôn khi niềng răng:
Răng khôn mọc lệch, nằm ngang hoặc đâm vào răng bên cạnh
Nếu răng khôn mọc lệch, hướng vào má hoặc răng số 7, đặc biệt là mọc ngang 90 độ, việc nhổ là cần thiết. Răng khôn trong trường hợp này có thể gây áp lực lên răng kế cận, dẫn đến đau nhức, viêm nướu hoặc sâu răng số 7. Ngoài ra, lực kéo của mắc cài hoặc khay niềng sẽ bị cản trở, khiến hiệu quả điều trị giảm và thời gian niềng kéo dài hơn.

Nhổ răng khôn tạo thêm khoảng trống cho việc dịch chuyển răng
Trong những trường hợp răng khấp khểnh, lệch lạc nặng, dù răng khôn mọc thẳng và không gây đau, bác sĩ vẫn có thể khuyến nghị nhổ. Lý do là răng khôn chiếm một phần không gian khá lớn ở cuối hàm, khiến việc kéo nhóm răng sau lùi vào gặp khó khăn.
Khi răng khôn được loại bỏ, hàm răng có thêm khoảng trống cần thiết để đảm bảo đường cung răng đẹp và đều; Thuận lợi cho việc đóng khoảng; Giúp lực chỉnh nha được phân bố chuẩn xác hơn.
Bên cạnh đó vì răng khôn mọc ở vị trí trong cùng của hàm nên khi nhổ răng vẫn đảm bảo được tính thẩm mỹ. Nếu nhổ răng khôn rồi thì sẽ có thể tránh khỏi việc phải nhổ răng số 4 hoặc số 5.
Răng khôn bị sâu, viêm nha chu hoặc viêm quanh thân răng
Răng khôn bị sâu, viêm nha chu hoặc viêm quanh thân răng cần nhổ trước khi niềng. Nếu để răng này tồn tại, vi khuẩn có thể lan sang các răng khác, gây sâu răng số 7 hoặc viêm nướu. Ngoài ra, nếu nhổ răng khôn khi đang niềng, bạn sẽ phải tạm dừng chỉnh nha từ 2 - 4 tuần để vết thương lành, làm kéo dài thời gian điều trị.

2. Vì sao nên nhổ răng khôn khi niềng răng?
Khi niềng răng, việc chỉ định nhổ răng khôn sẽ giúp:
Tạo điều kiện để răng dịch chuyển đúng hướng
Răng khôn có mặt nhai lớn và chiếm nhiều diện tích cuối cung hàm, nên việc nhổ sẽ tạo ra khoảng trống cần thiết để sắp xếp răng một cách khoa học và thẩm mỹ. Sau khi nhổ, bác sĩ sử dụng mắc cài, dây cung hoặc khay niềng để kéo và dàn đều các răng vào vị trí dự định, giúp răng dịch chuyển dễ dàng, đúng hướng và đường cung răng đều đẹp hơn.
Ngăn ngừa các bệnh lý răng miệng trong quá trình niềng
Răng khôn nằm ở vị trí trong cùng của hàm nên rất khó để vệ sinh sạch sẽ, dễ gây sâu răng, về lâu dài ảnh hưởng xấu đến tủy và men răng. Đặc biệt, trường hợp răng khôn chỉ mọc một phần sẽ khiến nướu sưng đau, nếu không vệ sinh kỹ sẽ dễ tích tụ thức ăn, vi khuẩn phát triển, dẫn đến viêm nướu gây đau nhức, hôi miệng…
Khi đang đeo mắc cài hoặc khay niềng, việc vệ sinh còn khó khăn gấp đôi, khiến nguy cơ viêm nhiễm, đau nhức hay hôi miệng tăng lên. Vì vậy, nhổ răng khôn trước khi niềng là cách tốt nhất để bảo vệ sức khỏe răng miệng và giúp quá trình niềng diễn ra thuận lợi, an toàn.
Giữ kết quả niềng răng ổn định lâu dài
Nhổ răng khôn trước khi niềng không chỉ giúp tạo khoảng trống cho răng dịch chuyển mà còn là bước quan trọng để bảo vệ kết quả chỉnh nha về lâu dài. Nếu răng khôn mọc lên sau khi niềng, chúng có thể đẩy các răng phía trước dịch chuyển về trước, gây hiện tượng răng xô lệch và làm mất cân đối hàm.
Tình trạng này không chỉ ảnh hưởng đến thẩm mỹ mà còn có thể làm thay đổi khớp cắn, khiến hàm răng khó duy trì đều và thẳng hàng như mong muốn. Chính vì vậy, nhổ răng khôn là cách tốt nhất để giữ cho toàn bộ quá trình niềng răng đạt hiệu quả tối ưu, đảm bảo răng đều đẹp, ổn định và bền lâu.
3. Nên nhổ răng khôn trước hay sau khi niềng?
Thông thường, bác sĩ khuyến nghị nên nhổ trước khi niềng, đặc biệt khi răng khôn mọc lệch hoặc nằm ngang. Điều này giúp quá trình niềng răng diễn ra liên tục, tránh phải chịu hai cảm giác khó chịu cùng lúc: đau do nhổ răng và ê buốt dịch chuyển răng khi đeo mắc cài hoặc mang khay trong suốt.
Trường hợp nhổ răng khôn sau khi niềng thường xảy ra ở các bạn nhỏ niềng sớm (niềng răng tăng trưởng), khi đó răng khôn sẽ mọc lên sau cùng. Lúc này bác sĩ sẽ kiểm tra và đưa ra chỉ định phù hợp.

4. Cần lưu ý gì khi nhổ răng khôn để niềng răng?
Nhổ răng khôn là một tiểu phẫu đơn giản, nhưng do vị trí nằm sâu trong cùng hàm, gần các dây thần kinh và xương hàm, nên nếu thực hiện không đúng kỹ thuật có thể gây ra biến chứng như đau kéo dài, tổn thương dây thần kinh hoặc nhiễm trùng.
Khi nhổ răng khôn để niềng, bạn cần lưu ý những điều sau đây để đảm bảo an toàn và không ảnh hưởng đến sức khỏe răng miệng:
-
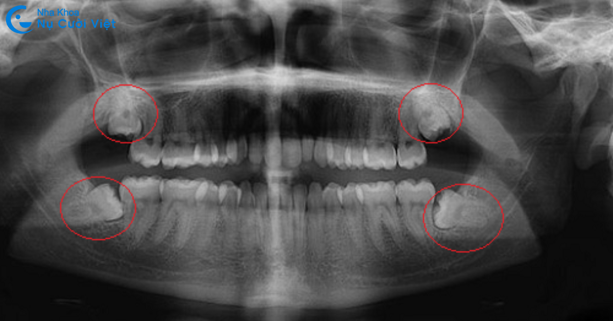
Chụp X quang răng kỹ lưỡng: Bác sĩ sẽ thăm khám kỹ lưỡng, chụp X-quang cẩn thận để làm căn cứ đánh giá cấu trúc và tình trạng răng miệng của khách hàng.
-
Đánh giá tổng thể sức khỏe răng miệng: Dựa trên kết quả thăm khám tổng quát và chụp X-quang, bác sĩ sẽ đánh giá để sức khỏe răng miệng của khách hàng, làm căn cứ để lên kế hoạch điều trị cụ thể.
-
Chọn nha khoa uy tín: Nha khoa uy tín trang bị thiết bị máy móc hiện đại sẽ giúp hỗ trợ tốt nhất cho bác sĩ trong khâu thăm khám và điều trị. Phòng khám vô trùng, vô khuẩn giúp ngăn ngừa biến chứng nhiễm trùng, tránh lây nhiễm chéo sau khi nhổ răng.
-
Chọn bác sĩ có chuyên môn, giàu kinh nghiệm: Dựa trên chuyên môn và kinh nghiệm, bác sĩ sẽ xác định chính xác số răng cần nhổ hoặc cấu trúc răng. Đồng thời, bác sĩ tay nghề cao có thể kiểm soát tốt kỹ thuật nhổ răng để không gây xâm lấn mô mềm hoặc tác động đến dây thần kinh xung quanh, đặc biệt là trong các trường hợp phức tạp như răng khôn mọc ngầm, mọc ngang, đâm ngang.
-
Chế độ ăn uống phù hợp: Sau khi nhổ răng khách hàng nên ăn cháo loãng, uống sữa để không phải nhai và khiến cơ hàm hoạt động mạnh. Sau một tuần, có thể ăn uống lại bình thường nhưng chỉ nên ăn thực phẩm mềm, dễ nhai, dễ nuốt, dễ tiêu hóa. Tránh thực phẩm quá cứng hoặc quá lạnh và không dùng chất kích thích.
-
Vệ sinh răng miệng kỹ lưỡng: Sau khi nhổ răng để niềng, cần vệ sinh răng miệng kỹ lưỡng bằng nước súc miệng, máy tăm nước, chỉ nha khoa và bàn chải lông mềm. Điều này giúp tránh thức ăn giắt lại kẽ răng tạo điều kiện cho vi khuẩn phát triển ảnh hưởng đến sức khỏe răng miệng.
Như vậy, tùy vào tình trạng răng miệng của khách hàng, bác sĩ sẽ quyết định Niềng răng có cần nhổ răng khôn không. Để đảm bảo an toàn, không ảnh hưởng đến sức khỏe răng miệng, bạn nên đến những cơ sở nha khoa uy tín thăm khám và niềng răng.
Hy vọng những chia sẻ trên đã giúp bạn giải đáp thắc mắc “Niềng răng có cần nhổ răng khôn không?”. Nếu bạn đang có kế hoạch niềng răng, liên hệ ngay Nụ Cười Việt qua hotline 089.919.6854 (Huế) hoặc 094.725.4343 (Đà Nẵng) để được tư vấn, thăm khám miễn phí nhé!
Tin liên quan
Bọc răng sứ có hết móm không? Giải pháp nào điều trị móm tối ưu?
Trồng răng toàn hàm có đau không? Công nghệ trồng răng Implant giúp giảm đau, an toàn
Lấy dấu răng khi niềng để làm gì? Công nghệ lấy dấu răng kỹ thuật số là như thế nào?
Những dấu hiệu khi mới niềng răng? Trường hợp nào là bất thường?
Niềng răng có làm thay đổi khuôn mặt không? Tác động của niềng răng đến cấu trúc khuôn mặt
Làm răng sứ đón Tết, trước bao lâu là đẹp?
>







