Mất răng nguy hiểm ra sao? Nên làm gì khi mất răng?
Mất răng (dù chỉ một chiếc hay mất răng toàn hàm) đều có thể gây ra rất nhiều hệ lụy cho sức khỏe và thẩm mỹ. Nếu không được khắc phục sớm, tình trạng này sẽ dẫn đến tiêu xương hàm, xô lệch răng, lão hóa khuôn mặt,... Bài viết dưới đây từ Nha khoa Nụ Cười Việt sẽ giúp bạn hiểu rõ các tác hại và cách xử lý hiệu quả nhất khi mất răng.
1. Đâu là nguyên nhân thực sự dẫn đến tình trạng mất răng?
Tình trạng mất răng có thể xuất phát từ nhiều nguyên do, cụ thể như:
Bệnh lý răng miệng không được điều trị kịp thời
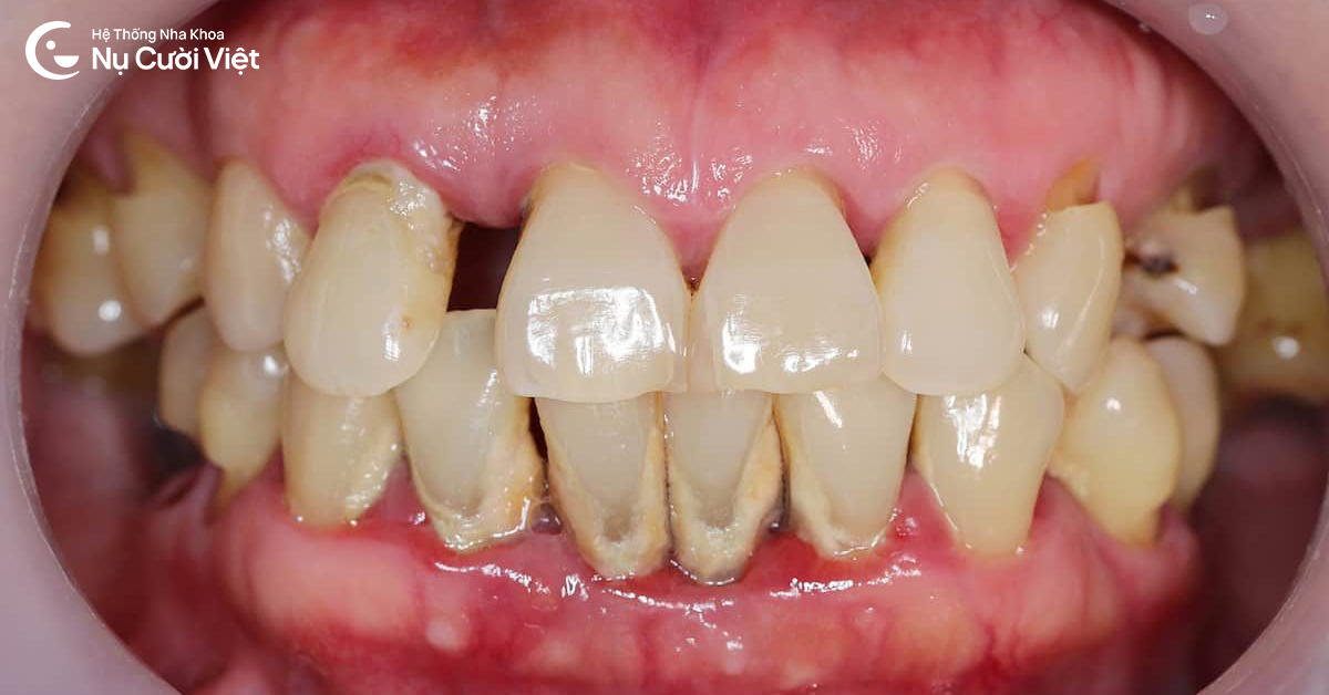
Đây là nguyên nhân phổ biến nhất dẫn đến việc phải nhổ bỏ răng. Các tình trạng như sâu răng nặng, viêm tủy hoặc viêm nha chu nếu không được can thiệp sớm sẽ phá hủy cấu trúc răng và các tổ chức nâng đỡ quanh răng. Khi nướu và xương ổ răng bị viêm nhiễm nghiêm trọng, răng sẽ mất điểm tựa, tụt lợi dẫn đến lung lay và rụng.

Viêm nha chu nặng nếu không điều trị sẽ dẫn đến mòn chân răng, gây mất răng sớm
Chăm sóc và vệ sinh răng miệng sai cách
Thói quen lười đánh răng hoặc vệ sinh không kỹ khiến mảng bám tích tụ lâu ngày, hình thành cao răng. Vi khuẩn trong cao răng là tác nhân trực tiếp gây viêm nướu và phá hủy men răng. Nếu bạn không có thói quen lấy cao răng định kỳ và sử dụng chỉ nha khoa để làm sạch kẽ răng, nguy cơ mất răng sẽ tăng cao.
Chế độ dinh dưỡng và thói quen sinh hoạt
Việc tiêu thụ quá nhiều thực phẩm chứa đường và axit làm mòn men răng nhanh chóng. Đồng thời, cơ thể thiếu hụt các dưỡng chất như Canxi, Kali cũng khiến răng yếu đi. Bên cạnh đó, các thói quen như hút thuốc lá, nghiến răng kéo dài gây sang chấn khớp cắn hoặc thường xuyên ăn đồ quá cứng cũng gây áp lực lớn, làm nứt vỡ và hỏng răng.
Tác động từ chấn thương và bệnh lý nền
Các tai nạn va đập mạnh trực tiếp vào vùng hàm mặt có thể khiến răng bị gãy hoặc bật khỏi huyệt ổ răng ngay lập tức. Ngoài ra, những người mắc các bệnh nền như tiểu đường, tim mạch, huyết áp thường có sức đề kháng răng miệng kém hơn, nướu dễ bị tổn thương khiến răng suy yếu nhanh hơn người bình thường.
Yếu tố tuổi tác
Ở người cao tuổi, các cơ quan trong cơ thể bước vào giai đoạn lão hóa, răng cũng không ngoại lệ. Men răng bị bào mòn và nướu bị tụt dần theo thời gian là quy luật tự nhiên khiến răng dễ bị mất đi.

Rụng răng, mất răng ở người già có thể ảnh hưởng đến các hoạt động ăn uống
2. Mất răng nguy hiểm ra sao? Những hậu quả mất răng gây ra là gì?
Mất răng dù ở bất kỳ vị trí nào cũng gây nên nhiều bất tiện trong ăn nhai cũng như sức khỏe răng miệng nói chung. Dưới đây là 4 hậu quả mất răng mà bạn nên biết:
2.1 Ảnh hưởng đến thẩm mỹ
Mất răng, nhất là ở vị trí dễ nhìn thấy như răng cửa, răng nanh làm ảnh hưởng lớn đến thẩm mỹ gương mặt, khiến nhiều người ngại ngùng và không tự tin trong giao tiếp. Hơn nữa, việc mất răng lâu ngày còn có thể khiến má bị hóp, xuất hiện nhiều nếp nhăn,… làm tổng thể gương mặt mất sự cân đối và hài hòa.
2.2 Ảnh hưởng trực tiếp đến chức năng ăn nhai và hệ tiêu hóa
Mỗi chiếc răng trên cung hàm đều đảm nhận một nhiệm vụ riêng biệt. Răng cửa dùng để cắn xé, còn răng hàm đóng vai trò nghiền nát thức ăn. Khi mất răng, lực nhai giảm sút đáng kể khiến thức ăn xuống dạ dày vẫn còn thô, bắt buộc hệ tiêu hóa phải làm việc vất vả hơn. Điều này lâu ngày dẫn đến các bệnh lý về dạ dày và đường ruột, đồng thời khiến cơ thể kém hấp thu dinh dưỡng.
2.3 Sự xô lệch hàm và biến dạng khớp cắn
Răng có xu hướng tìm điểm tựa để giữ vững vị trí. Khi một chiếc răng mất đi, các răng đối diện sẽ có hiện tượng trồi lên hoặc tụt xuống phía khoảng trống, trong khi các răng kế cận bắt đầu đổ nghiêng về phía vị trí mất răng. Quá trình này diễn ra âm thầm, làm hỏng khớp cắn tự nhiên, gây ra những cơn đau khớp thái dương hàm, đau đầu và mỏi cổ vai gáy kéo dài.
Vị trí răng mất có dấu hiệu xô lệch răng 2 bên
2.4 Gây ra nhiều bệnh lý về răng miệng
Khoảng trống tại vị trí mất răng là môi trường thuận lợi để vi khuẩn có hại sinh sôi và phát triển. Điều này gây ra các bệnh lý răng miệng như sâu răng, viêm nha chu, viêm chân răng và ảnh hưởng đến các chiếc răng còn lại.
2.5 Tiêu xương hàm và lão hóa khuôn mặt sớm
Đây là hậu quả nghiêm trọng nhất nhưng lại khó nhận biết nhất ở giai đoạn đầu. Xương hàm cần lực tác động từ việc ăn nhai để duy trì mật độ. Khi mất răng, vùng xương tại đó không còn lực kích thích chức năng truyền qua chân răng sẽ bắt đầu tiêu biến cả về chiều cao và chiều rộng. Khi xương hàm bị tiêu đi, phần cơ mặt không còn điểm tựa sẽ bị chùng xuống, gây hiện tượng hóp má, da mặt chảy xệ và xuất hiện nhiều nếp nhăn, khiến bạn trông già hơn tuổi thật rất nhiều.
2.6 Phát âm không rõ ràng
Khoảng trống tại vị trí mất răng sẽ khiến bạn nói chuyện bị thoát hơi nhiều, dẫn đến khó phát âm chính xác, nhất là từ có âm gió. Hơn nữa, nếu bị mất răng cửa còn làm giảm hoặc mất tương quan giữa răng – môi – lưỡi, từ đó khiến bạn dễ nói ngọng, nói đớt, gây mất tự tin khi giao tiếp.
3. Khi mất răng nên làm gì?
Khi bị mất răng, tốt nhất bạn nên đi thăm khám với bác sĩ nha khoa để đánh giá tình trạng răng là mất răng một phần (còn chân răng) hay mất răng toàn bộ. Bạn nên lựa chọn trung tâm nha khoa chuyên sâu cùng đội ngũ bác sĩ giỏi chuyên môn, vững tay nghề để chẩn đoán chính xác và tư vấn cách điều trị phù hợp, hạn chế tối đa biến chứng.
Tại Nha khoa Nụ Cười Việt, bác sĩ luôn ưu tiên bảo tồn răng thật tối đa, giữ gìn răng tự nhiên của khách hàng. Khi thăm khám, nếu mất răng nhưng chân răng vẫn còn tốt thì bác sĩ sẽ tìm cách phục hình bảo tồn để tránh nhổ răng thật. Nếu mất răng toàn bộ hoặc chân răng không thể giữ lại, bác sĩ sẽ tư vấn phương pháp phục hình tốt nhất.
4. Đâu là giải pháp phục hình răng mất an toàn và bền vững lâu dài?
Khi bị mất răng, người bệnh nên phục hình răng càng sớm càng tốt nhằm hạn chế tối đa những tác hại kể trên. Hiện nay, có 3 phương pháp phục hồi răng mất được áp dụng phù hợp với nhu cầu của khách hàng.
4.1. Hàm giả tháo lắp
Răng giả được đeo dính vào hàm nhờ vào các móc kim loại hoặc các mô nướu bằng nhựa đeo cố định vào những răng thật.
Ưu điểm của phương pháp này là thời gian điều trị nhanh, chi phí thấp. Tuy nhiên, các răng giả thường không chắc chắn, dễ rơi rớt khi sử dụng làm ảnh hưởng đến giao tiếp và sinh hoạt. Đồng thời, hàm giả tháo lắp còn gây tiêu xương nhanh chóng nên không thể sử dụng trong thời gian dài.

4.2. Cầu răng sứ
Cầu răng sứ là phương pháp mà bác sĩ sẽ mài 2 chiếc răng khỏe mạnh bên cạnh răng mất để làm trụ cho chiếc cầu răng. Phương pháp này có thời gian điều trị ngắn với chi phí vừa phải. Tuổi thọ của cầu răng sứ thường kéo dài trong khoảng 10 năm.
Tuy nhiên thẩm mỹ sau khi hoàn thành không đạt được sự tự nhiên, tinh tế và tình trạng tiêu xương vẫn diễn ra do cầu răng sứ không tạo được chân răng thay thế răng đã mất. Theo thời gian, nướu sẽ bị teo lại, để lộ khoảng trống giữa răng và nướu. Thêm vào đó, việc mài 2 răng bên cạnh để làm trụ, chịu toàn bộ sức nhai sẽ khiến răng trụ này dần yếu đi. Để đảm bảo ăn nhai chắc chắn và tính thẩm mỹ thì bệnh nhân buộc phải tốn thời gian và chi phí làm lại.
4.3. Cấy ghép Implant
Implant là các trụ được làm từ vật liệu titanium cao cấp, có khả năng tích hợp xương hoàn hảo, đóng vai trò như một chân răng thật. Đây là giải pháp duy nhất hiện nay giúp ngăn chặn tình trạng tiêu xương hàm hiệu quả.
Phương pháp trồng răng Implant được xem là giải pháp phục hồi răng mất tân tiến nhất hiện nay, khắc phục hoàn toàn các nhược điểm của hàm giả tháo lắp và cầu răng sứ. Thực tế đã chứng minh, trụ Implant có thể dùng vĩnh viễn và khôi phục được khả năng ăn nhai đến hơn 90% cùng độ thẩm mỹ tự nhiên.

Cấy ghép Implant là lựa chọn tối ưu cho Cô Chú mất răng lâu năm
Xét về chi phí, thì chi phí cấy ghép Implant có mức giá cao hơn nhưng đây là khoản đầu tư tiết kiệm nhất về lâu dài vì chỉ cần làm một lần, tránh được các biến chứng tiêu xương và không phải làm đi làm lại nhiều lần như cầu răng hay hàm tháo lắp.
5. Cách phòng ngừa mất răng
Để phòng ngừa mất răng, bạn có thể áp dụng các biện pháp gợi ý sau đây:
-
Vệ sinh răng miệng ít nhất 2 lần/ngày và sau khi ăn 30 phút.
-
Sử dụng chỉ nha khoa, máy tăm nước và nước súc miệng sau bữa ăn giúp làm sạch mảng bám thức ăn trong các kẽ răng, đồng thời giảm thiểu tình trạng răng chảy máu do sử dụng tăm lâu ngày.
-
Thăm khám nha khoa định kỳ 6 tháng/lần để kịp thời điều trị các bệnh lý răng miệng, ngăn chặn nguy cơ mất răng.
-
Xử lý sớm các vấn đề răng miệng như sâu răng, viêm nha chu, áp xe quanh răng,… Hạn chế để bệnh kéo dài có thể dẫn đến viêm tủy răng và mất răng.
Mất răng là một vấn đề sức khỏe cần được ưu tiên xử lý sớm. Tại Nha khoa Nụ Cười Việt, chúng tôi luôn sẵn sàng đồng hành cùng bạn tìm ra giải pháp phục hồi bền vững và tiết kiệm nhất. Nếu bạn đang lo lắng về tình trạng mất răng của mình, hãy liên hệ ngay với chúng tôi qua Fanpage hoặc Hotline 089.919.6854 để được tư vấn phác đồ điều trị cá nhân hóa hoàn toàn miễn phí nhé!
Tin liên quan
NIỀNG RĂNG MẮC CÀI DAMON CÓ TỐT KHÔNG? ƯU ĐIỂM SO VỚI MẮC CÀI TRUYỀN THỐNG?
Viêm nướu khi niềng răng: Nguyên nhân và cách điều trị hiệu quả
Sưng nướu răng: Triệu chứng, nguyên nhân & cách điều trị dứt điểm
Trồng răng toàn hàm All-on-4: Giải pháp phục hồi tiết kiệm chi phí cho người mất răng toàn hàm
CẤY GHÉP IMPLANT SINH HỌC GST LÀ GÌ? ƯU ĐIỂM VÀ CHI PHÍ RA SAO?
Đã bọc răng sứ rồi có niềng được không? Có rủi ro gì không?
>







