Trẻ 3 tuổi có trám răng được không?
Răng sữa tuy nhỏ nhưng lại có vai trò quan trọng trong sự phát triển toàn diện của trẻ. Vì vậy, khi phát hiện một dấu hiệu sâu đen trên răng con, nhiều bậc cha mẹ không tránh khỏi lo lắng: Bé mới 3 tuổi có nên trám răng không? Liệu trám răng cho trẻ 3 tuổi có gây đau hay ảnh hưởng đến răng vĩnh viễn sau này?
Trong bài viết này, Nha khoa Nụ Cười Việt sẽ cung cấp những thông tin khoa học, rõ ràng để giúp bố mẹ đưa ra quyết định phù hợp, bảo vệ nụ cười khỏe mạnh cho con ngay từ những năm đầu đời.
Trẻ em rất dễ mắc sâu răng, nhất là trẻ đang trong giai đoạn mọc răng sữa
1. Trám răng sữa là gì?
Hầu hết trẻ bắt đầu mọc răng sữa từ 6 tháng tuổi và hoàn thiện khoảng 20 răng sữa khi được 2 - 3 tuổi. Những chiếc răng này không chỉ giúp bé nhai mà còn hỗ trợ phát âm, hình thành thẩm mỹ nụ cười và định hướng vị trí cho răng vĩnh viễn.
Vì vậy, việc bảo vệ răng sữa trong những năm đầu đời là vô cùng quan trọng. Răng sữa bị sâu kéo dài có thể gây đau nhức, viêm nhiễm, khiến bé biếng ăn dẫn đến chậm phát triển, ảnh hưởng đến sức khỏe và thậm chí làm lệch hướng mọc răng vĩnh viễn sau này.

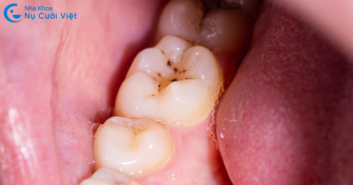
Trám răng sữa ngăn sâu răng tiến triển, bảo vệ tủy cho răng của bé
Khi răng sữa xuất hiện dấu hiệu sâu hoặc hư tổn, trám răng cho trẻ là phương pháp hiệu quả để khôi phục cấu trúc và chức năng răng. Quá trình trám răng sữa bao gồm việc loại bỏ phần răng bị sâu hoặc hư hỏng, sau đó sử dụng vật liệu trám (thường là composite) để lấp đầy khoảng trống và tái tạo lại hình dạng ban đầu của răng. Thủ thuật này giúp ngăn sâu răng tiến triển, bảo vệ tủy và duy trì khả năng ăn nhai bình thường cho đến khi răng vĩnh viễn mọc lên.
2. Trẻ 3 tuổi có trám răng khi bị sâu được không?
Trẻ 3 tuổi hoàn toàn có thể trám răng khi cần thiết. Ở độ tuổi này, nếu răng sữa bị sâu hoặc hư hỏng, trám răng cho trẻ là giải pháp hiệu quả để bảo vệ răng, duy trì khả năng ăn nhai, phát âm và đảm bảo răng vĩnh viễn mọc đúng vị trí.
Việc trám răng kịp thời cũng giúp ngăn chặn các vấn đề nghiêm trọng hơn như viêm tủy, nhiễm trùng hoặc nhổ bỏ răng. Nếu răng sâu không được điều trị đúng lúc, sâu răng có thể tiến triển sâu vào tủy, gây đau nhức dữ dội, khiến bé khó chịu và ảnh hưởng đến sinh hoạt hàng ngày. Lúc này, quá trình điều trị sẽ phức tạp hơn, kéo dài thời gian và chi phí, bao gồm cả điều trị tủy trước khi trám lại.
Vì vậy, khi thấy dấu hiệu sâu răng ở trẻ, cha mẹ nên đưa bé đến nha khoa càng sớm càng tốt để bác sĩ xử lý kịp thời, xác định mức độ sâu răng và đưa ra chỉ định phù hợp cho trẻ.
3. Trẻ 3 tuổi trám răng có an toàn không? Trám răng cho trẻ có gây đau không?
Như đã nói, trám răng là dịch vụ không đòi hỏi kỹ thuật phức tạp, không xâm lấn cấu trúc xương, mô mềm, quá trình thực hiện lại diễn ra nhanh chóng, thêm vào đó bác sĩ có thể cân nhắc dùng thuốc gây tê cho một số trường hợp nên không gây cảm giác đau nhức khó chịu.
Vì vậy, trám răng cho trẻ 3 tuổi là một thủ thuật hoàn toàn an toàn, diễn ra rất nhanh. Phương pháp trám răng thực hiện đơn giản, không gây đau đớn và chỉ mất khoảng 10-15 phút, hầu hết trẻ chỉ cảm thấy nhẹ nhàng hoặc gần như không đau trong quá trình trám. Với những bé nhạy cảm, bác sĩ có thể bôi tê hoặc sử dụng phương pháp làm sâu an toàn mà không gây đau, kết hợp các biện pháp hỗ trợ tâm lý, giúp bé thoải mái, không sợ hãi.

Trám răng cho trẻ 3 tuổi hoàn toàn có thể, đây là một thủ thuật an toàn, nhẹ nhàn và không gây đau
4. Các phương pháp trám răng sữa cho trẻ 3 tuổi
Tùy vào từng trường hợp sâu răng ở trẻ, bác sĩ sẽ đưa ra giải pháp trám răng cho trẻ phù hợp:
4.1 Trám răng ngăn ngừa
Phương pháp trám ngăn ngừa hay còn gọi là trám bít hố rãnh thường được áp dụng cho trường hợp trẻ mọc răng số 6, răng số 7 và răng có tình trạng sâu nhẹ hoặc nứt, mẻ nhẹ. Theo đó, bác sĩ sẽ sử dụng chổi và bột đánh bóng để vệ sinh bề mặt hố rãnh, sau đó dùng dung dịch làm tăng độ bám dính của chất trám bít. Cuối cùng, dùng chất trám bít lên bề mặt hố rãnh, sau đó đợi dung dịch này tự đông lại hoặc chiếu đèn halogen.
4.2 Trám răng điều trị
Trong trường hợp răng sữa đã bị sâu nặng, trám răng sẽ kết hợp với điều trị răng sâu để khôi phục chức năng và hình dạng răng. Bác sĩ sẽ loại bỏ phần răng bị tổn thương và sử dụng vật liệu trám như composite hoặc amalgam để lấp đầy các vị trí bị sâu hoặc nứt vỡ. Cách làm này giúp ngăn vi khuẩn lan rộng, giảm đau nhức, duy trì khả năng ăn nhai bình thường cho bé và bảo vệ các răng lân cận khỏi bị ảnh hưởng.
Trường hợp trẻ bị sâu răng quá nặng phải bắt buộc điều trị tủy để tránh răng sữa bị chết tủy lây lan sang răng bên cạnh, làm phá hủy các tổ chức quanh răng, khiến răng bị lung lay và dễ bị rụng sớm. Bác sĩ sẽ kết hợp 2 phương pháp điều trị tủy và trám lại. Sau điều trị tủy xong, bác sĩ sẽ trám lại và để răng được bảo vệ tốt hơn, bác sĩ thường sẽ chụp một mão thép (nắp răng nhỏ bằng kim loại dành riêng cho răng sữa). Mão thép giúp răng bền, không vỡ lại, và giữ đúng khoảng để răng vĩnh viễn mọc lên sau này.
5. Chi phí trám răng sữa là bao nhiêu?
Tại Nụ Cười Việt, chi phí trám răng sữa cho trẻ 3 tuổi thường là 200.000đ/răng. Tuy nhiên, để biết mức chi phí chính xác ba mẹ nên đưa bé đến nha khoa kiểm tra. Dựa vào số lượng răng sâu, tình trạng răng của mỗi bé bác sĩ sẽ báo mức chi phí cụ thể trước khi điều trị.
Răng sữa khỏe mạnh không chỉ giúp trẻ ăn nhai tốt mà còn ảnh hưởng đến quá trình thay răng và sự phát triển răng vĩnh viễn sau này. Và trẻ 3 tuổi vẫn hoàn toàn có thể trám răng được. Vì vậy, khi trẻ từ 3-6 tuổi xuất hiện dấu hiệu sâu răng, cha mẹ nên đưa bé đến các nha khoa uy tín để được thăm khám và trám răng kịp thời giúp bảo vệ sức khỏe răng miệng, giảm nguy cơ đau nhức và giúp nụ cười của bé luôn khỏe mạnh nhé!
Tin liên quan
Bọc răng sứ có hết móm không? Giải pháp nào điều trị móm tối ưu?
Trồng răng toàn hàm có đau không? Công nghệ trồng răng Implant giúp giảm đau, an toàn
Lấy dấu răng khi niềng để làm gì? Công nghệ lấy dấu răng kỹ thuật số là như thế nào?
Những dấu hiệu khi mới niềng răng? Trường hợp nào là bất thường?
Niềng răng có làm thay đổi khuôn mặt không? Tác động của niềng răng đến cấu trúc khuôn mặt
Làm răng sứ đón Tết, trước bao lâu là đẹp?
>







