DÁN SỨ VENEER CÓ BỀN KHÔNG? YẾU TỐ ẢNH HƯỞNG ĐỘ BỀN CỦA DÁN SỨ VENEER
Dán sứ veneer đang trở thành lựa chọn hàng đầu cho những ai mong muốn một nụ cười sáng đẹp, đều đặn mà vẫn bảo tồn răng thật tối đa. Nhưng liệu mặt dán sứ mỏng manh này có đủ bền chắc để đồng hành lâu dài? Tuổi thọ của veneer phụ thuộc vào những yếu tố nào? Hãy cùng Nụ Cười Việt tìm hiểu qua bài viết dưới đây!
1. Dán sứ veneer là gì?
Dán sứ veneer là phương pháp phục hình thẩm mỹ tiên tiến, sử dụng những “mặt dán sứ” siêu mỏng, chỉ dày khoảng 0,3 - 0,5mm, gắn trực tiếp lên mặt trước của răng. Phương pháp này giúp khắc phục các khuyết điểm như răng xỉn màu, thưa nhẹ, hoặc nứt mẻ nhỏ.
Dán sứ Veneer siêu mỏng kích thước chỉ từ 0,3 - 0,5mm
Điểm đặc biệt của veneer là khả năng bảo tồn răng thật tối đa. Bác sĩ chỉ cần mài một lớp rất mỏng trên bề mặt răng, sau đó gắn miếng sứ bằng keo chuyên dụng, ôm khít với răng thật, giúp bạn sở hữu một nụ cười mới đẹp tự nhiên, vẫn giữ nguyên cấu trúc răng gốc.
2. Dán sứ veneer có bền không?
Vì được thiết kế siêu mỏng, nên mặt dán sứ Veneer phải được chế tác từ các loại sứ nguyên khối cao cấp để đảm bảo độ cứng chắc và bền lâu trong quá trình sử dụng. Bên cạnh đó, các dòng sứ này đều lành tình và không gây kích ứng cho cơ thể. Đặc biệt, tuổi thọ trung bình của các dòng Veneer có thể kéo dài từ 10 - 20 năm, hoặc lâu hơn nếu chăm sóc tốt.
Tuổi thọ trung bình của các dòng Veneer có thể kéo dài từ 10 - 20 năm
Độ bền của mặt dán sứ Veneer sẽ phụ thuộc vào nhiều yếu tố bao gồm:
-
Chất lượng răng sứ: Những sản phẩm có chất liệu tinh khiết, chất lượng tốt không chỉ có tuổi thọ cao mà hiệu quả về mặt thẩm mỹ cũng tốt hơn hẳn.
-
Thói quen chăm sóc răng miệng: Vệ sinh răng miệng sạch sẽ và đều đặn giúp loại bỏ mảng bám thức ăn, vi khuẩn, từ đó ngăn miếng sứ bị nhiễm màu hoặc bào mòn. Ngoài ra, cần duy trì thói quen kiểm tra định kỳ 6-12 tháng tại nha khoa để phát hiện sớm vấn đề nếu có.
-
Chế độ ăn uống: Thói quen ăn uống khoa học như: ăn đúng bữa, hạn chế ăn vặt, tránh ăn thực phẩm có tính acid, giảm thực phẩm cứng dai giúp miếng dán sứ bền hơn.
-
Tay nghề của bác sĩ: Bác sĩ có trình độ chuyên môn cao và kinh nghiệm lâu năm sẽ có kỹ thuật dán răng sứ tốt hơn, giảm nguy cơ bong miếng dán sứ trong quá trình sử dụng
-
Sức khỏe răng thật: Sức khỏe răng thật: Răng yếu, sâu tủy, men răng mỏng hoặc thói quen nghiến răng ban đêm đều có thể làm giảm tuổi thọ veneer.
3. Ưu điểm của dán sứ veneer
Tính thẩm mỹ cao
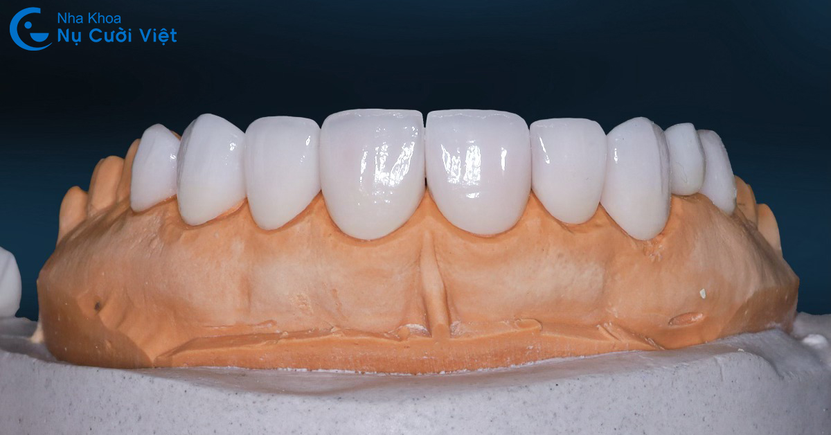
Mặt dán sứ veneer được thiết kế phù hợp với hình dáng răng của mỗi người. Đồng thời, mặt dán sứ đảm bảo được độ trắng, trong, bóng tự nhiên tương tự như răng thật. Đây chính là một điểm nổi bật của phương pháp dán răng sứ veneer, đảm bảo mang đến một hàm răng trắng sáng đẹp tự nhiên.
Độ trắng, trong, bóng tự nhiên của mặt dán sứ Veneer tương tự như răng thật
Bảo tồn răng thật tối đa
Phương pháp dán sứ Veneer thường không cần hoặc chỉ cần mài rất mỏng lớp men răng, khoảng 0,3 - 0,5 mm. Điều này giúp hạn chế tối đa sự xâm lấn răng thật, giảm thiểu cảm giác ê buốt đối với những người có răng nhạy cảm, giúp bảo tồn răng thật tối đa.
Ăn nhai thoải mái
Một điểm cộng lớn khác của mặt dán sứ Veneer là đem đến cảm giác ăn nhai hoàn toàn tự nhiên. Nhờ thiết kế siêu mỏng nên mặt dán sứ ôm sát vào bề mặt răng thật, không làm thay đổi độ dày của răng quá nhiều, giúp bạn ăn uống thoải mái mà không lo bung tróc hay lỏng lẻo sau một thời gian sử dụng.
Hạn chế tình trạng viêm lợi, hôi miệng
Phương pháp dán sứ veneer sử dụng 100% loại sứ cao cấp, an toàn, lành tính và thích hợp với môi trường trong răng miệng. Đặc biệt, miếng sứ được dán ôm vừa khít vào răng đảm bảo không gây lắng cặn tồn đọng thức ăn dẫn đến các bệnh lý về răng như viêm lợi hay hôi miệng.
Độ bền vững cao
Chất sứ bền chắc của mặt dán sứ Veneer gấp nhiều lần răng thật, tuổi thọ lên đến 15 năm, thậm chí vĩnh viễn nếu được chăm sóc và bảo quản tốt.
4. Nhược điểm của dán sứ veneer
Phương pháp dán sứ Veneer đang dần trở thành xu hướng phục hình thẩm mỹ cho răng hàng đầu hiện nay. Bởi mang lại tính thẩm mỹ cao, màu sắc răng tự nhiên mà ít xâm lấn, bảo tồn được tối đa cấu trúc răng thật. Tuy nhiên, bất cứ phương pháp nha khoa nào cũng đều có những lợi ích và hạn chế riêng, dán răng sứ veneer cũng không ngoại lệ. Dưới đây là một số nhược điểm của phương pháp này:
Dán sứ Veneer không thể áp dụng cho mọi đối tượng
Một trong những nhược điểm của dán sứ Veneer chính là hạn chế về đối tượng sử dụng. Bởi kỹ thuật thực hiện của phương án này là mài men răng rất ít nên răng gốc phải đáp ứng những tiêu chí khắt khe mới có thể thực hiện dán sứ:
-
Răng tương đối đều đặn, mức độ khấp khểnh nhẹ.
-
Răng thưa, hở kẽ nhẹ, không quá 5mm.
-
Khớp cắn tốt, không bị hô, móm, đối đầu, cắn chéo…
-
Răng vỡ mẻ không quá 1/3 thân răng.
Chi phí dán sứ Veneer tương đối cao
Giá dán sứ Veneer khá cao là do được veneer ứng dụng kỹ thuật cắt sứ nguyên khối bằng công nghệ CAD/CAM 3D siêu âm từ để được một lớp sứ siêu mỏng, đảm bảo độ khít, vừa vặn với từng khách hàng. Do đó, kỹ thuật này đòi hỏi bác sĩ cần có tính chuyên môn cao, tỉ mỉ, cẩn thận và thành thạo tay nghề mới có thể tạo thành những miếng sứ đạt chất lượng. Chỉ cần một sai sót nhỏ thôi cũng đã khiến cho miếng dán sứ lỏng lẻo, mất thẩm mỹ và dễ rơi ra ngoài.
Chi phí dán sứ Veneer tại Nụ Cười Việt sẽ từ 6-10 triệu đồng/răng, tùy thuộc vào loại sứ.
Giới hạn trong khả năng che màu răng
Veneer sứ có độ mỏng đặc trưng chỉ khoảng 0,3 - 0,5mm, ôm sát bề mặt răng như một “lớp kính áp tròng”, nhờ vậy khi gắn lên sẽ tạo cảm giác tự nhiên và không gây vướng cộm. Tuy nhiên, ở những trường hợp răng bị nhiễm màu nặng như Tetracycline, Fluor hoặc men răng bẩm sinh quá sẫm, lớp sứ mỏng này khó có thể che phủ hoàn toàn.
Yêu cầu bác sĩ có chuyên môn cao
Kỹ thuật dán sứ venee một quy trình phức tạp, đòi hỏi bác sĩ phải có trình độ chuyên môn vững vàng và nhiều kinh nghiệm thực tiễn để đảm bảo phục hình đạt kết quả thẩm mỹ và chức năng như mong muốn. Bởi chỉ một sai sót nhỏ cũng có thể dẫn đến tình trạng xâm lấn răng thật, gây ê buốt kéo dài hoặc khiến mặt dán không khít, dễ bong tróc trong quá trình sử dụng.
5. So sánh dán sứ Veneer, bọc răng sứ và trám composite: Nên chọn phương pháp nào?
Khi muốn cải thiện thẩm mỹ răng, ba phương pháp phổ biến nhất hiện nay là dán sứ Veneer, bọc sứ và trám composite. Tuy cùng chung mục đích mang lại nụ cười đẹp, nhưng mỗi phương pháp lại có đặc điểm riêng:
-
Dán sứ Veneer: Giữ lại tối đa răng thật, chỉ cần mài rất ít hoặc thậm chí không mài răng. Veneer có tính thẩm mỹ cao, màu sắc tự nhiên, độ bền lâu (10-15 năm hoặc hơn nếu chăm sóc tốt). Phù hợp cho trường hợp răng xỉn màu, thưa nhẹ, sứt mẻ nhỏ hoặc muốn cải thiện dáng răng.
-
Bọc răng sứ: Cần mài nhiều mô răng hơn để chụp mão sứ lên toàn bộ răng. Ưu điểm là che phủ toàn diện, áp dụng được cho răng hư tổn nặng, sâu lớn, đổi màu trầm trọng. Tuổi thọ trung bình 10-15 năm. Tuy nhiên, do mài răng nhiều nên tính bảo tồn răng gốc không cao bằng veneer.
-
Trám răng bằng composite: Là phương pháp nhanh, chi phí thấp, bảo tồn răng thật tối đa. Thích hợp cho răng sâu nhẹ, sứt mẻ nhỏ. Nhược điểm là màu sắc dễ xỉn theo thời gian, độ bền không cao (thường 3-5 năm), dễ bong vỡ khi chịu lực mạnh.
Nếu bạn muốn cải thiện nụ cười một cách toàn diện, bền đẹp và vẫn giữ lại tối đa răng thật, thì dán sứ Veneer chính là lựa chọn đáng ưu tiên. Bọc sứ phù hợp khi răng đã hư hại nặng, còn trám composite chỉ nên áp dụng cho khuyết điểm nhỏ, ngắn hạn. Vì vậy, với nhu cầu thẩm mỹ lâu dài, tự nhiên và ít xâm lấn, phần lớn khách hàng hiện nay đều chọn dán sứ Veneer để sở hữu nụ cười như ý.
5. Nha khoa Nụ Cười Việt - địa chỉ dán sứ Veneer uy tín
Giữa rất nhiều cơ sở nha khoa trên thị trường, Nha khoa Nụ Cười Việt tự hào là điểm đến tin cậy của hàng ngàn khách hàng khi lựa chọn dán sứ Veneer. Tại đây, quy trình được trực tiếp thực hiện bởi đội ngũ bác sĩ phục hình thẩm mỹ chuyên sâu, giàu kinh nghiệm, đảm bảo từng thao tác đều chính xác và an toàn.
Hệ thống Labo chế tác răng sứ toàn diện tại Nụ Cười Việt
Toàn bộ quá trình chế tác được tính toán, kiểm soát kỹ lưỡng về độ chính xác, chất lượng và tính thẩm mỹ của từng mặt dán sứ:
- Ứng dụng công nghệ Digital Smile Design (DSD) - thiết kế nụ cười cá nhân hoá phù hợp với đặc điểm khuôn mặt khách hàng;
- Chế tác tỉ mỉ bởi đội ngũ kỹ thuật viên lành nghề, hoạt động với hệ thống Labo chế tác răng sứ ngay tại Nha khoa và hệ thống trang thiết bị cực kỳ hiện đại;
- Chăm chút từng chi tiết để đảm bảo đồng nhất về form răng, màu sắc để nụ cười hài hòa từ mọi góc nhìn.
Hy vọng thông qua bài viết này đã giúp bạn đọc giải đáp được vấn đề dán sứ veneer có bền không và những ưu nhược điểm mà nó mang lại. Để biết được chính xác bản thân có phù hợp với phương pháp này hay không, liên hệ tư vấn ngay qua hotline 089.919.6854 (Huế) | 094.725.4343 (Đà Nẵng) để được bác sĩ Nha khoa Nụ Cười Việt giải đáp ngay hôm nay!
Tin liên quan
Trồng implant bao lâu thì ăn được? Nên và không nên ăn gì sau cấy ghép?
TẠI SAO CẦN CHỤP CONEBEAM CT 3D TRƯỚC KHI TRỒNG RĂNG IMPLANT?
DÁN SỨ VENEER CÓ BỀN KHÔNG? YẾU TỐ ẢNH HƯỞNG ĐỘ BỀN CỦA DÁN SỨ VENEER
Răng sâu bị vỡ chỉ còn chân răng: Dấu hiệu và cách điều trị dứt điểm
NGƯỜI GIÀ MẤT RĂNG NÊN CHỌN: TRỒNG IMPLANT, CẦU RĂNG SỨ HAY HÀM GIẢ THÁO LẮP
VÌ SAO CẦN CHỤP THÉP RĂNG SỮA CHO TRẺ EM? TRƯỜNG HỢP NÀO CẦN THỰC HIỆN
