Răng sâu bị vỡ chỉ còn chân răng: Dấu hiệu và cách điều trị dứt điểm
Răng sâu vốn là một vấn đề khiến nhiều người lo lắng, nhưng khi răng sâu bị vỡ chỉ còn lại chân răng thì nỗi lo ấy còn nhân lên gấp bội. Không chỉ ảnh hưởng đến việc ăn nhai và thẩm mỹ, tình trạng này còn tiềm ẩn nguy cơ gây viêm nhiễm, biến chứng sang xương hàm, thậm chí ảnh hưởng đến sức khỏe toàn thân.
Vậy răng sâu bị vỡ còn chân răng có thể cứu chữa được không, hay buộc phải nhổ bỏ? Cùng Nụ Cười Việt tìm hiểu chi tiết trong bài viết dưới đây.
1. Tình trạng răng sâu bị vỡ chỉ còn chân răng là gì? Dấu hiệu nhận biết?
Răng sâu bị vỡ chỉ còn chân răng là tình trạng phần thân răng bên trên đã bị vi khuẩn phá hủy hoàn toàn, chỉ còn lại phần chân răng nằm sâu trong xương hàm. Lúc này, răng không còn hình dạng và chức năng ban đầu, thường đi kèm với viêm tủy, nhiễm trùng và đau nhức kéo dài. Đây được xem là giai đoạn sâu răng nặng và rất nguy hiểm.
Răng sâu bị vỡ chỉ còn chân răng là gì?
Nguyên nhân chính là do sâu răng không được điều trị sớm. Vi khuẩn dần ăn mòn lớp men và ngà răng, khiến thân răng yếu đi, dễ gãy vỡ, cuối cùng chỉ còn sót lại chân răng trong nướu.
Để nhận biết răng sâu bị vỡ còn chân răng như thế nào, bạn có thể dựa vào các dấu hiệu sau:
-
Thân răng bị gãy, vỡ hoàn toàn, chỉ còn chân răng lộ ra ở nướu.
-
Chân răng thường có màu sẫm đen, dễ lung lay.
-
Vùng lợi quanh chân răng sưng đỏ, đau nhức, thậm chí có mủ.
-
Hơi thở hôi, kèm cảm giác ê buốt dữ dội khi ăn nhai.
Nếu phát hiện răng đã sâu vỡ chỉ còn chân, cần đi khám nha sĩ ngay lập tức để được xử lý kịp thời, tránh biến chứng lây lan sang các răng bên cạnh và xương hàm.
2. Những tác hại của răng bị sâu chỉ còn chân răng ở người lớn
Khi răng sâu bị vỡ còn lại chân răng, người bệnh bị đau nhức thường xuyên và ăn uống khó khăn
Nhiều người nghĩ rằng “răng hỏng rồi thì để vậy cũng không sao”. Nhưng thực tế, răng sâu chỉ còn chân răng gây ra các hệ quả bất lợi như sau:
-
Ảnh hưởng nghiêm trọng đến sức khỏe răng miệng: Vi khuẩn tại vị trí răng hỏng tiếp tục lây lan sang các răng bên cạnh, làm tăng nguy cơ sâu răng hàng loạt.
-
Nguy cơ viêm tủy, áp xe xương hàm: Khi vi khuẩn ăn sâu vào chân răng, chúng có thể gây viêm tủy, tụ mủ quanh chóp răng, dẫn đến áp xe. Nếu không xử lý kịp, nhiễm trùng lan rộng có thể gây viêm xương ổ răng, thậm chí đe dọa tính mạng.
-
Ảnh hưởng đến khả năng ăn nhai: Mất thân răng đồng nghĩa với việc không còn khả năng nghiền nát thức ăn. Người bệnh buộc phải nhai lệch, lâu ngày gây lệch khớp cắn, đau khớp thái dương hàm.
-
Tác động đến thẩm mỹ và tâm lý: Một chiếc răng gãy vỡ, lộ chân đen kịt làm nụ cười mất thẩm mỹ, ảnh hưởng đến sự tự tin trong giao tiếp.
3. Răng sâu bị vỡ chỉ còn chân răng có cần nhổ không?
Câu trả lời là CÓ, nhưng tùy trường hợp bác sĩ sẽ quyết định giữ lại hay bắt buộc phải nhổ bỏ.
Trường hợp cần nhổ bỏ răng
-
Chân răng lung lay quá nhiều, không còn khả năng bám trụ.
-
Chân răng bị gãy ngang, vỡ dọc theo chiều dài.
-
Nhiễm trùng nặng, có áp xe quanh chóp hoặc viêm nha chu lan rộng.
-
Xương ổ răng tiêu quá nhiều, không thể phục hồi.
Trong những trường hợp này, đối với răng hàm bị sâu và vỡ, chân răng bị phá hủy hoàn toàn, giải pháp ưu tiên là tiến hành nhổ răng để ngăn ngừa biến chứng. Sau đó, bệnh nhân cần nhanh chóng phục hình răng đã mất để đảm bảo tính thẩm mỹ, chức năng ăn nhai, cũng như tránh các biến chứng về sau.
Trường hợp có thể giữ lại và điều trị
Nếu chân răng còn chắc khỏe, chưa bị viêm nhiễm nặng, bác sĩ có thể tiến hành các phương pháp bảo tồn như:
-
Điều trị tủy, làm sạch ống tủy.
-
Bọc mão răng sứ để phục hồi hình dáng và chức năng ăn nhai.
-
Trong một số trường hợp, có thể cắm chốt và trám bít để tái tạo thân răng.
4. Răng bị sâu chỉ còn chân răng nên làm gì? Các biện pháp điều trị hiệu quả
Khi răng hàm bị sâu vỡ nặng, chỉ còn lại phần chân, việc điều trị cần tiến hành càng sớm càng tốt để ngăn ngừa nguy cơ áp xe, nhiễm trùng lan rộng hoặc tổn thương đến dây thần kinh. Tùy theo mức độ hư hỏng, bác sĩ sẽ lựa chọn phương pháp xử lý phù hợp.
Chăm sóc tạm thời khi răng bị vỡ
Nếu răng bị nứt, gãy hoặc vỡ lớn, tốt nhất bạn nên đến ngay phòng khám nha khoa. Việc chần chừ có thể khiến vi khuẩn xâm nhập sâu hơn, dẫn đến nhiễm trùng và nguy cơ mất răng. Trong trường hợp chưa thể gặp bác sĩ ngay, bạn có thể áp dụng một số biện pháp hỗ trợ tại nhà:
-
Uống thuốc giảm đau không kê đơn như paracetamol, acetaminophen để kiểm soát cơn đau.
-
Súc miệng nhiều lần trong ngày bằng nước muối ấm pha loãng để hạn chế vi khuẩn.
-
Nếu răng vỡ tạo cạnh sắc gây cọ xát vào môi hoặc lưỡi, hãy dùng sáp nha khoa hoặc kẹo cao su không đường bọc lại tạm thời.
-
Hạn chế nhai bằng răng gãy, ưu tiên thức ăn mềm và dễ nuốt.
Những biện pháp này chỉ giúp làm dịu triệu chứng trong thời gian ngắn, không thay thế cho việc điều trị tại nha khoa.
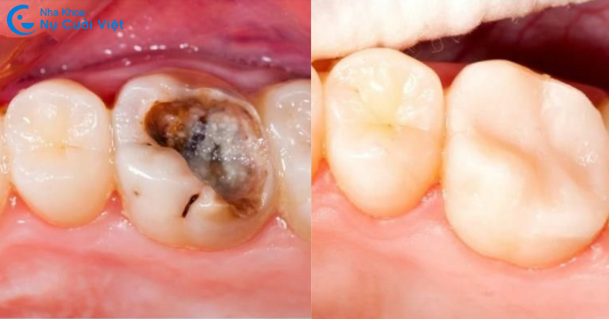
Trám răng
Khi răng chỉ bị vỡ một mảnh nhỏ, bác sĩ thường lựa chọn phương pháp trám răng bằng vật liệu composite có màu sắc tương đồng với răng thật, vừa đảm bảo thẩm mỹ vừa giúp phục hồi chức năng nhai.
Điều trị răng sâu bị vỡ chỉ còn chân răng bằng phương pháp trám răng
Trước khi trám, bề mặt răng sẽ được làm sạch và tạo độ bám. Sau đó, nha sĩ cho vật liệu composite lên răng, chiếu đèn quang trùng hợp để cố định vật liệu, cuối cùng đánh bóng để bề mặt răng nhẵn mịn. Đây là thủ thuật đơn giản, nhanh chóng, hầu như không cần gây tê.
Bọc mão răng sứ
Với trường hợp răng vỡ diện rộng hoặc chỉ còn chân răng, bác sĩ có thể chỉ định bọc mão sứ. Quy trình này bao gồm mài tạo hình trụ răng, lấy dấu và chế tác mão răng riêng biệt.
Mão sứ thường được làm từ nhiều chất liệu: kim loại, sứ kim loại hoặc toàn sứ. Trong đó, mão toàn sứ có tính thẩm mỹ cao và an toàn với cơ thể nên được ưa chuộng hơn cả. Khi đặt mão, răng thật được bảo vệ tối đa, đồng thời phục hồi khả năng ăn nhai và hình dáng tự nhiên.
Nếu tình trạng sâu răng lan đến tủy, bác sĩ sẽ tiến hành điều trị tủy trước khi bọc mão. Quá trình này bao gồm loại bỏ phần tủy bị viêm, làm sạch ống tủy và trám bít lại bằng vật liệu chuyên dụng. Sau đó, mão sứ sẽ được đặt để gia cố răng, ngăn ngừa gãy vỡ thêm.
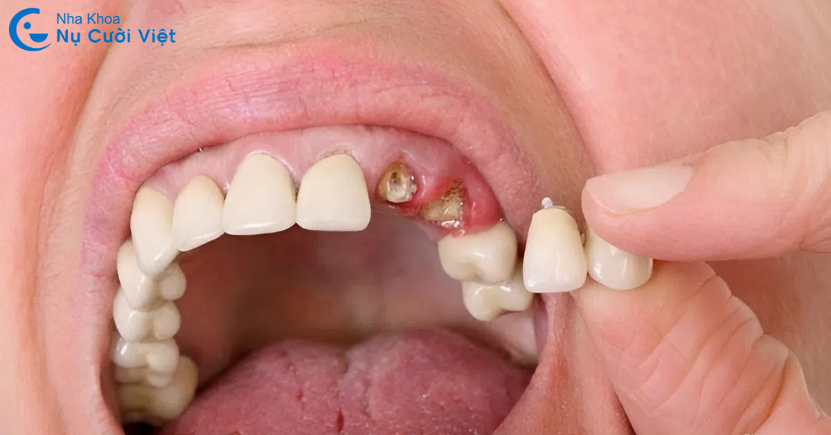
Nhổ bỏ - Trồng Implant
Trường hợp răng sâu bị vỡ chỉ còn chân răng nhưng quá yếu, viêm nhiễm đã lan rộng không thể giữ lại thì bác sĩ sẽ tiến hành nhổ bỏ chân răng, nạo sạch ổ viêm để tránh lây lan sang các vị trí cận kề gây ra những biến chứng nguy hiểm về sau. Sau đó sử dụng răng giả (cấy ghép Implant) để thay thế cho phần đã mất giúp phục hồi chức năng nhai và thẩm mỹ. Quy trình thực hiện này sẽ được các bác sĩ trao đổi một cách kỹ lưỡng với bệnh nhân giúp đảm bảo hiệu quả điều trị tốt nhất.
Nhổ răng trong trường hợp nếu chân răng không tốt, không thể bảo tồn được
6. Lời khuyên của bác sĩ để phòng ngừa sâu răng và bảo vệ răng hàm
Để tránh tình trạng răng sâu nặng dẫn đến vỡ chỉ còn chân răng, bạn nên chủ động chăm sóc răng miệng từ sớm và duy trì đều đặn thói quen sau:
-
Đánh răng ít nhất 2 lần/ngày với kem đánh răng chứa fluoride để tăng cường men răng.
-
Sử dụng chỉ nha khoa, súc miệng nước muối sinh lý sau bữa ăn nhằm loại bỏ mảng bám và vi khuẩn.
-
Chế độ ăn uống lành mạnh: Tăng cường thức ăn giàu canxi, vitamin và khoáng chất có thể giúp răng chắc khỏe và ngăn ngừa sâu răng. Tránh các thực phẩm có đường, nước có gas, đồng thời duy trì chế độ ăn giàu canxi và vitamin D để răng chắc khỏe.
-
Khám nha khoa định kỳ 6 tháng/lần để kịp thời phát hiện, xử lý sớm các bệnh lý.
Nên khám răng định kỳ 6 tháng/lần với nha sĩ để được phát hiện sớm bệnh lý răng miệng
Răng sâu bị vỡ chỉ còn chân răng là tình trạng nguy hiểm, không chỉ gây đau nhức, mất thẩm mỹ mà còn ảnh hưởng nghiêm trọng đến sức khỏe tổng thể. Tùy vào mức độ, bác sĩ sẽ đưa ra phương pháp điều trị phù hợp: bảo tồn hay nhổ bỏ và phục hình.
Việc tuân thủ những biện pháp phòng ngừa trên sẽ giúp bạn giảm thiểu nguy cơ gặp phải các tình trạng răng nghiêm trọng, như răng sâu vỡ chỉ còn chân răng, đồng thời duy trì hàm răng chắc khỏe. Nếu nhận thấy dấu hiệu bất thường, hãy liên hệ hotline 089.919.6854 (Huế) hoặc 094.725.4343 (Đà Nẵng) để được bác sĩ Nụ Cười Việt thăm khám, tư vấn miễn phí!
Tin liên quan
Trồng implant bao lâu thì ăn được? Nên và không nên ăn gì sau cấy ghép?
TẠI SAO CẦN CHỤP CONEBEAM CT 3D TRƯỚC KHI TRỒNG RĂNG IMPLANT?
DÁN SỨ VENEER CÓ BỀN KHÔNG? YẾU TỐ ẢNH HƯỞNG ĐỘ BỀN CỦA DÁN SỨ VENEER
Răng sâu bị vỡ chỉ còn chân răng: Dấu hiệu và cách điều trị dứt điểm
NGƯỜI GIÀ MẤT RĂNG NÊN CHỌN: TRỒNG IMPLANT, CẦU RĂNG SỨ HAY HÀM GIẢ THÁO LẮP
VÌ SAO CẦN CHỤP THÉP RĂNG SỮA CHO TRẺ EM? TRƯỜNG HỢP NÀO CẦN THỰC HIỆN
